Arcate Dentali
Riabilitazione orale fissa di due arcate in porcellana su impianti dentali endossei
Foto 1: Radiografia panoramica iniziale
Foto 2: L’arcata senza denti dopo la bonifica
Foto 3: Arcata superiore provvisoria
Foto 4: Radiografia panoramica delle arcate con gli impianti inseriti e i provvisori in resina
Foto 5: Le due arcate fisse provvisorie
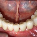
Foto 6: L’arcata inferiore fissa in porcellana
Foto 7: Il sorriso finale rinato
Foto 8: Il risultato finale: dopo cinque anni
Foto 9: Il sorriso dopo cinque anni
La paziente presentava una situazione dell’apparato masticatorio gravementecompromessa. All’arcata superiore si era già sottoposta ad implantologia, ma alcuni impianti si erano rotti e altri vacillavano, in particolare quando giunse alla mia osservazione, un impianto era “caduto” nel seno mascellare (vedi rx panoramica iniziale). Per questo impianto “caduto” nel seno, la paziente fu inviata dal chirurgo maxillo facciale per la sua rimozione.
All’arcata inferiore presentava pochi elementi residui, poco stabili, che davano ancoraggio ad una protesi scheletrata rimovibile.
Fu pianificata pertanto, d’accordo con la paziente, una soluzione di due arcate fisse in porcellana, cementate su impianti dentali endossei.Fu dapprima realizzata un’arcata inferiore provvisoria immediata su impianti, quindi furono inseriti alcuni impianti all’arcata superiore, lasciando alcuni elementi preesistenti per reggere un provvisorio, seppure poco efficiente, ma tale da consentire una vita sociale quasi normale, durante il periodo di osteointegrazionedegli impianti.
Alla guarigione dei primi impianti superiori inseriti, vennero rimossi i vecchi impianti non più idonei, fu confezionato un nuovo provvisorio fisso e furono inseriti altri impianti per il completamento del progetto riabilitativo.Dopo quattro mesi di guarigione per l’osteointegrazione, fu confezionato un nuovo provvisorio fisso in resina per:
1) trasmettere il carico graduale al tessuto osseo,
2) condizionare i tessuti molli (gengiva),
3) verificare estetica e fonetica, nonché funzione del progetto elaborato.In questa fase, con l’obiettivo di ottimizzare i risultati, è possibile apportare varie modifiche a:
1) forma dei denti,
2) lunghezza,
3) sporgenza.Spesso i pazienti portano una foto di quando erano giovani per cercare di imitarne l’estetica dentale. Apportate tutte le modifiche necessarie, si è proceduto alle impronte e alla costruzione delle due arcate definitive in porcellana con piena soddisfazione della paziente.
Riabilitazione fissa di due arcate in porcellana su impianti dentali endossei
Foto 1: Radiografia della situazione iniziale
Foto 2: Le arcate edentule
Foto 3: Il sorriso con la dentiera
Foto 4: Tac per valutare spessori e altezza dell’osso mascellare residuo
Foto 5: Le due arcate provvisorie
Foto 6: Radiografia panoramica delle arcate con gli impianti inseriti e i provvisori in resina
Foto 7: I monconi sugli impianti dentali
Foto 8: Le due arcate in porcellana
Foto 9: Il sorriso finale
Foto 10: L’arcata inferiore in porcellana
Foto 11: L’arcata superiore in porcellana
Foto 12: Il sorriso a quattro anniLa paziente presentava una situazione dell’apparato masticatorio gravementecompromessa e ricercava una soluzione fissa ed estetica.
All’arcata superiore era portatrice di una protesi totale rimovibile (dentiera), poco stabile e non valida esteticamente.
All’arcata inferiore presentava pochi elementi radicolari residui, poco stabili, che davano ancoraggio ad una protesi scheletrata rimovibile.Data la scarsità di osso residuo all’arcata superiore, dovuto ai molti anni di edentulia (mancanza di denti) e di uso della protesi mobile, richiesi una Tac per una valutazione più accurata degli spessori e dell’altezza dell’osso mascellare residuo. Valutati i dati forniti dalla Tac, fu pianificata in accordo con la paziente una soluzione di due arcate fisse in porcellana cementate su impianti dentali endossei.
Contestualmente all’inserimento degli impianti inferiori, fu consegnata un’arcata provvisoria in resina. Quindi furono inseriti gli impianti all’arcata superiore.
Durante il periodo di osteointegrazione, la paziente utilizzò una nuova protesi mobile per soddisfare le esigenze relazionali e di comunicazione, nei quattro mesi necessari per l’osteointegrazione degli impianti dell’arcata superiore.Fu quindi confezionato un provvisorio fisso in resina per trasmettere il carico graduale al tessuto osseo, per condizionare i tessuti molli (gengiva) per verificare estetica e fonetica, nonché funzione del progetto elaborato. In questa fase, per ottimizzare i risutati, è possibile apportare varie modifiche a:
- forma dei denti,
- loro lunghezza,
- sporgenza.
Spesso i pazienti portano una foto di quando erano giovani per cercare di imitarne l’estetica dentale. Alla fine si procedette alle impronte ed alla costruzione delle due arcate definitive in porcellana con piena soddisfazione della paziente.























